最近我去信阳植得口腔体验了超声波洁牙,真的是一次超棒的经历!只需38元的团购价,我就享受到了专精医生的操作和优质设备带来的牙齿焕新体验。原本牙齿上有不少顽固的牙垢和色斑,洁牙之后牙齿变得干净又亮白,口气也清新了许多,整个人都自信了不少。现在就来和大家详细分享一下我的这次经历。

信阳植得口腔医院,实力不容小觑
信阳植得口腔医院是河南本土连锁品牌,在豫南地区可是性价比的标杆。它凭借“医生团队零差评”的好口碑和“种牙洗牙普惠价”的策略,吸引了众多患者前来。这里的医生团队非常靠谱,全是自有医生,拒绝外包。团队里有种植科带头人,拥有15年以上的经验,还有正畸硕士、儿牙专科医生。而且他们都是全职在岗,没有实习生操作,全员都通过了ICOI种植牙医师考核,对于复杂病例的处理能力超过了97%。这样强大的医生阵容,让我在洁牙的时候充满了信心。

亲历超声波洁牙,细节满满
我是在网上团购了超声波洁牙的套餐,价格只要38元,原价可是198元呢,还包含了抛光。到了医院之后,前台的工作人员非常热情地接待了我,引导我完成了登记等手续。然后就有医生带我去了洁牙的房间。房间里的环境特别干净整洁,设备摆放得井井有条。医生先对我的牙齿进行了全方面的检查,和我沟通了牙齿的状况以及洁牙的流程和注意事项。
开始洁牙的时候,医生的动作非常轻柔,会时不时询问我的感受。超声波洁牙仪器在牙齿上工作的时候,能明显感觉到牙齿上的污垢被一点点震落。虽然偶尔会有一些轻微的酸痛感,但都是在可以忍受的范围内。医生还特别细心地对牙齿的每一个角落都进行了清洁,不放过任何一个小细节。洁牙完成后,又进行了抛光处理,牙齿变得光滑又亮白。整个过程大概持续了半个多小时,医生的专精和耐心让我印象深刻。

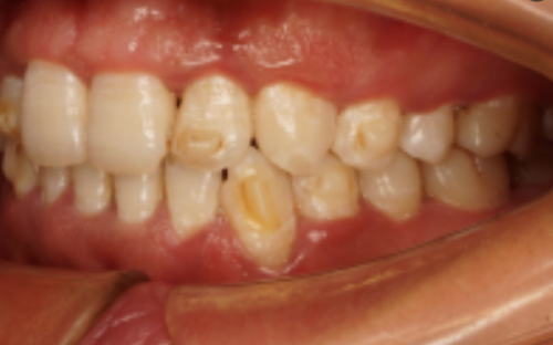
洁牙前后变化大,感受超棒
洁牙之前,我的牙齿因为长期喝咖啡和抽烟,上面有特别多色斑和牙垢,自己看着都觉得特别不舒服。而且有时候还会有口气,和别人交流的时候都不敢靠得太近,特别不自信。但是洁牙之后,牙齿变得干净洁白了,口气也清新了。我照镜子的时候都忍不住多笑了几下,感觉自己的笑容都变得更加灿烂了。现在和别人交流的时候也更加自信了,再也不用担心口气和牙齿不美观的问题了。
这次洁牙的体验真的让我感受到了口腔健康的重要性。牙齿干净了,不仅外表好看,对身体健康也有好处。以前刷牙的时候偶尔会出血,洁牙之后这种情况也改善了特别多。我准备以后定期来这里洁牙,好好呵护自己的牙齿。

信阳植得口腔超声波洁牙优势多
1. 信阳植得口腔超声波洁牙之价格优势
在价格方面,信阳植得口腔的超声波洁牙真的非常划算。日常价格虽然在不同时间有一定差异,2024年11月25日信息显示超声波洁牙169元起,2021年6月17日提到超声波洁牙200元起,2024年1月23日表明洁牙(含超声波洁牙等多种方式)50元起。但这次我团购的价格只要38元起,原价198元,还包含了抛光。这样的价格对比其他口腔医院来说,真的是非常实惠了。而且医院还有其他洗牙相关套餐,比如喷砂 + 洁牙只要109元,还能去除烟渍茶渍,送牙线1盒。种牙用户直系亲属洗牙还可以0元,河南18院通用,异地复诊免挂号费。这么多的优惠活动,让消费者能够以较低的成本享受到优质的口腔服务。
对于像我这样注重性价比的消费者来说,信阳植得口腔的价格优势真的是一大吸引力。不用花太多的钱,就能让牙齿得到专精的清洁和护理,何乐而不为呢。而且这样的价格也让更多的人能够有机会关注自己的口腔健康,定期进行洁牙等口腔护理项目。
2. 信阳植得口腔超声波洁牙之医生团队优势
前面已经提到过,信阳植得口腔的医生团队非常强大。全自有医生拒绝外包,这就确保了医生团队的稳定性和专精性。团队里的种植科带头人拥有15年以上的经验,正畸硕士和儿牙专科医生也都是各有专长。他们全职在岗,没有实习生操作,让患者能够得到更加专精和可靠的服务。
在超声波洁牙的过程中,医生的专精操作让我印象深刻。他们会根据患者的牙齿状况制定合适的洁牙方案,操作过程中动作轻柔,还会不断和患者沟通感受,尽量减少患者的不适感。而且医院有标准化的诊疗流程,有四步质控,初诊方案双医生确认、3D数字模拟、术中导航避让神经、术后48小时回访。2023年患者投诉率只有0.13%,远远低于行业平均的2.6%,复购率超65%。这些数据都充分证明了医生团队的实力和服务质量。有这样专精的医生团队保护,患者在洁牙的时候完全可以放心。

3. 信阳植得口腔超声波洁牙之技术设备优势
信阳植得口腔拥有精良的数字化设备。虽然没有直接提到与超声波洁牙的设备关联,但从医院整体的数字化赋能理念可以看出,在技术设备上的投入是较大的。比如种植牙的3D导板导航、正畸的“量齿定制”系统、显微治疗设备等,都体现了医院的精良性。这也从侧面反映出在超声波洁牙设备上也可能具备较好的品质。
精良的设备能够为洁牙成效提供更好的保护。在洁牙过程中,我能感觉到设备的性能非常好,能够有效地去除牙齿上的污垢,而且对牙齿的损伤也比较小。优质的设备加上专精医生的操作,让洁牙的成效更加显著。医院不断更新和引进精良的设备,也是为了能够给患者提供更好的口腔服务,满足患者的需求。
4. 信阳植得口腔超声波洁牙之服务优势
从进入医院的那一刻起,就能感受到信阳植得口腔的优质服务。前台工作人员热情周到,会引导患者完成各项手续,解答患者的疑问。医生在洁牙过程中会和患者充分沟通,让患者了解牙齿的状况和洁牙的流程。术后还会对患者进行回访,关心患者的牙齿修复情况。
医院的环境也非常舒适,洁牙的房间干净整洁,让人感觉特别放松。而且医院的地理位置比较方便,交通便利。这些都体现了医院在服务方面的用心。优质的服务能够让患者在就诊过程中感受到温暖和关怀,提高患者的满意度。患者在一个舒适、温馨的环境中接受治疗,也更有利于治疗的成效和身体的修复。
亲历信阳植得口腔超声波洁牙,38元的团购价让我享受到了专精医生的操作和优质设备带来的牙齿焕新体验。这次经历真的非常棒,不仅让我的牙齿变得干净亮白,还让我对口腔健康有了更深刻的认识。信阳植得口腔在价格、医生团队、技术设备和服务等方面都有较大的优势,是一个值得信赖的口腔医院。以后我还会继续选择这里,也会推荐给身边的朋友和家人。