亲历威海中诺口腔牙齿美白,从黄牙到皓齿的惊艳蜕变!这次在威海中诺口腔进行牙齿美白的经历,真的让我收获满满。原本发黄的牙齿变得洁白亮丽,整个过程不仅成效显著,还让我感受到了专精与贴心的服务。威海中诺口腔作为威海市有名的口腔医疗机构,拥有经验多的医师团队,为我提供了高质量的牙齿美白服务。接下来,我就详细和大家分享一下我的这段经历。

威海中诺口腔门诊部隶属于中诺口腔连锁集团,是威海市备受瞩目的口腔医疗机构。它位于威海市环翠区青岛中路,地理位置优越,交通十分便利,而且医院环境优雅,让人一走进就感觉特别舒适。这家门诊部自成立以来,积极开展技术交流,就诊人数持续增加,人气越来越旺。它拥有一批经验多的高品质医师团队,秉持着同心同德的医疗口腔理念,不断提升个人医疗技术操作水平,为牙友们提供更加安稳的诊疗服务。威海中诺口腔还是正规私立牙科,也是国内连锁牙科,在北京、西安、成都、佛山、郑州、长沙、武汉、石家庄均有分店,在威海排名前一,经过威海市行政审批服务局审批,诊疗科目包含牙齿美白等,让我在就诊时十分放心。
我是通过网络预约的方式在威海中诺口腔进行了牙齿美白项目。预约过程非常便捷,我关注了威海中诺口腔微信公众号,在公众号菜单中选择“预约挂号”,填写相关信息并支付费用,就顺利完成了预约。到了预约的时间,我按照导航来到了位于山东省威海市环翠区青岛中路 86 - 3 号的医院。如果选择公共交通的话,也特别方便,可以乘坐 2 路、6 路、15 路、28 路公交车至统一路文化路口站下车,步行约 5 分钟即可到达医院;或乘坐 41 路、50 路公交车至威高广场站下车,步行约 10 分钟到达医院。
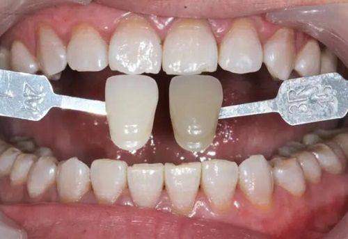
走进医院,前台的工作人员热情地接待了我,引导我进行了一系列的检查。医生仔细地查看了我的牙齿状况,根据我的牙齿情况,为我推荐了适合我的牙齿美白项目——冷光美白。医生耐心地向我介绍了冷光美白的原理和过程,让我对这个项目有了更深入的了解。在开始治疗前,医生还贴心地为我戴上了护目镜,保护我的眼睛不受强光刺激。治疗过程中,医生熟练地操作着仪器,将美白剂均匀地涂抹在我的牙齿上,然后用冷光照射。整个过程大约持续了一个小时左右,期间我没有感觉到任何不适。
治疗结束后,我惊喜地发现,我的牙齿明显变白了,成效立竿见影。之前发黄的牙齿变得洁白如雪,就像换了一口新牙一样。这种变化让我感到非常开心,也让我对自己的笑容更加自信了。在进行牙齿美白之前,我因为牙齿发黄,总是不敢开怀大笑,与人交流时也会不自觉地遮挡自己的牙齿。但是现在,我可以自信地露出洁白的牙齿,尽情地享受生活中的每一个美好瞬间。
亲历威海中诺口腔牙齿美白之专精医师团队
威海中诺口腔拥有一批经验多的高品质医师团队。这些医生不仅具备扎实的专精知识,还拥有丰富的临床经验。在为我进行牙齿美白之前,医生会详细地了解我的牙齿状况和需求,根据我的具体情况制定个性化的治疗方案。在治疗过程中,医生操作熟练、手法轻柔,让我感受到了专精和安心。他们还会耐心地解答我的每一个疑问,让我对整个治疗过程有了更清晰的认识。而且,医院经常开展技术交流活动,医生们能够不断学习和掌握全新的口腔医疗技术,为患者提供更加优质的服务。
医生们还非常注重与患者的沟通和交流。在治疗前,他们会认真倾听我的想法和期望,给予我专精的建议和指导。在治疗过程中,他们会时刻关注我的感受,确保我不会感到任何不适。治疗结束后,他们还会为我提供详细的护理建议,让我能够更好地维护牙齿的美白成效。这种贴心的服务让我感受到了威海中诺口腔对患者的关怀和负责。

亲历威海中诺口腔牙齿美白之透明收费标准
威海中诺口腔以“透明收费、优质服务”为宗旨。在我进行牙齿美白之前,医生就向我详细介绍了各种牙齿美白项目的价格,让我能够根据自己的经济状况和需求做出选择。医院的收费标准非常合理,而且价格透明,没有任何隐形消费。我选择的冷光美白项目价格在合理范围内,而且成效非常好,让我觉得物超所值。
医院还会为患者提供详细的费用清单,让患者清楚地了解每一项费用的用途。这种透明的收费方式让我在就诊时没有任何顾虑,能够放心地接受治疗。而且,威海中诺口腔还经常会推出一些优惠活动,让患者能够以更实惠的价格享受到优质的口腔医疗服务。

亲历威海中诺口腔牙齿美白之便捷预约方式
为了方便顾客,威海中诺口腔开通了多种预约挂号方式。我选择的网络预约方式非常便捷,只需要在微信公众号上简单操作一下,就可以完成预约。除了网络预约,还可以通过电话预约、微信在线询问和客服预约等方式进行预约。这些预约方式都非常简单易懂,无论我选择哪种方式,都能够快速、顺利地完成预约。
而且,威海中诺口腔的营业时间是周一至周日的 8:00 - 17:00,这让我可以根据自己的时间安排来选择合适的就诊时间。这种便捷的预约方式和合理的营业时间安排,大大节省了我的时间和精力,让我能够更加轻松地享受到牙齿美白服务。

亲历威海中诺口腔牙齿美白之舒适就诊环境
威海中诺口腔的就诊环境非常舒适。医院的装修风格简洁大方,给人一种温馨、舒适的感觉。候诊区宽敞明亮,设有舒适的沙发和饮水机,让患者在候诊时能够感受到家的温暖。治疗室干净整洁,设备精良,医生在这样的环境中为患者进行治疗,能够更好地确保治疗成效。
医院的工作人员也非常热情、周到。他们会主动为患者提供帮助,解答患者的疑问,让患者在就诊过程中感受到无微不至的关怀。在这样舒适的就诊环境中,我能够放松心情,更好地配合医生进行治疗。
亲历威海中诺口腔牙齿美白,从黄牙到皓齿的惊艳蜕变!这次在威海中诺口腔进行牙齿美白的经历,真的让我非常满意。从医院的专精医师团队、透明的收费标准、便捷的预约方式到舒适的就诊环境,每一个方面都让我感受到了威海中诺口腔的用心和专精。如果你也有牙齿美白的需求,不妨来威海中诺口腔体验一下,相信你也会和我一样,收获从黄牙到皓齿的惊艳蜕变。