当前位置:网站主页 > 项目 > 吉安仁心口腔瓷贴面美白3000元起,亲民价享温馨服务与高质量美牙效果

吉安仁心口腔瓷贴面美白3000元起,亲民价享温馨服务与高质量美牙效果

更新时间:2025-10-10     编辑:星垂    阅读量:

你是否渴望拥有一口洁白亮丽的牙齿,却又担心高昂的费用和不佳的治疗体验?现在,吉安仁心口腔医院为你带来福音!吉安仁心口腔瓷贴面美白项目只需3000元起,让你以亲民的价格享受温馨的服务与高质量的美牙成效。在这里,专精的口腔医疗团队将为你打造专属的美牙方案,让你轻松拥有自信笑容。

一、吉安仁心口腔瓷贴面美白3000元起,亲民价格畅享美牙之旅

在当今社会,牙齿美观越来越受到人们的重视。然而,特别多人因为担心牙齿美容项目的价格过高而望而却步。吉安仁心口腔医院充分考虑到患者的需求,推出了价格亲民的瓷贴面美白项目。瓷贴面价格3000元/颗起,这个价格在市场上具有特别强的竞争力。而且,口腔美容项目的价格会根据具体情况而有所不同,医院会根据患者的实际情况和具体需求制定合理的收费标准。此外,医院还会定期推出各种优惠活动,如种植牙套餐、矫正折扣等,让患者能够以更优惠的价格享受到高质量的口腔医疗服务。

二、吉安仁心口腔瓷贴面美白,优势特点尽显魅力

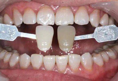
吉安仁心口腔的瓷贴面美白项目具有诸多优势。在手术方式上,医院采用精良的技术和设备,确保手术的精细性和安心性。医生会根据患者的牙齿状况和需求,精心设计瓷贴面的形状和颜色,使其与患者的天然牙齿理想融合。在技术特点方面,医院的瓷贴面采用高品质的材料,具有良好的耐磨性和美观性。超薄瓷贴面更是具有轻薄、透明的特点,贴上后几乎看不出痕迹,能够在不损伤牙齿的前提下,快速改善牙齿的颜色和形态。

从成效反馈来看,许多患者在接受吉安仁心口腔的瓷贴面美白治疗后,都对成效非常满意。牙齿变得洁白整齐,笑容更加自信灿烂。而且,瓷贴面美白成效持久,能够为患者带来长期的美观和舒适。无论是因为牙齿发黄、发黑,还是牙齿有轻微缺损等问题,都可以通过瓷贴面美白得到有效的改善。

三、吉安仁心口腔瓷贴面美白,优质口碑见证实力

吉安仁心口腔瓷贴面美白项目在患者中拥有良好的口碑。许多患者通过朋友介绍或者网络了解到该项目后,纷纷前来体验。他们在接受治疗后,都对医院的服务和治疗成效赞不绝口。有的患者表示,在吉安仁心口腔治疗牙齿,就像在家一样温馨,医生和护士都非常热情周到,让人感觉特别安心。

在行业内,吉安仁心口腔也得到了广泛的认可。医院凭借专精的技术、优质的服务和合理的价格,成为了口腔美容领域的佼佼者。其他同行对吉安仁心口腔的瓷贴面美白项目也给予了高度评价,认为其在技术和服务方面都具有较大的优势。

四、吉安仁心口腔瓷贴面美白,真实实例彰显成效

下面为大家分享几个真实的实例。李先生是一位商务人士,由于长期吸烟和喝咖啡,牙齿变得又黄又黑,这让他在商务洽谈中特别不自信。他来到吉安仁心口腔,医生为他制定了瓷贴面美白方案。经过治疗后,李先生的牙齿变得洁白如雪,他的笑容也变得更加自信。现在,他在商务场合中更加从容自如,业务也越来越顺利。

张女士是一位教师,她的牙齿有轻微的缺损和不整齐,影响了她的形象。在吉安仁心口腔接受瓷贴面美白治疗后,张女士的牙齿变得整齐洁白,她的笑容更加甜美动人。她的学生们也都说老师变得更漂亮了,这让张女士感到非常开心。

王小姐是一位年轻的上班族,她一直梦想着拥有一口洁白的牙齿。但是由于工作繁忙,她没有太多时间进行复杂的牙齿矫正。吉安仁心口腔的瓷贴面美白项目为她解决了难题。治疗后,王小姐的牙齿焕然一新,她在生活和工作中更加自信,也更加注重自己的形象了。

吉安仁心口腔瓷贴面美白项目以3000元起的亲民价格,为广大患者提供了温馨的服务和高质量的美牙成效。无论你是因为牙齿颜色问题还是牙齿形态问题而烦恼,都可以来到吉安仁心口腔,让专精的医生为你打造专属的美牙方案。不要再犹豫了,赶快行动起来,让自己拥有一口洁白亮丽的牙齿,绽放自信笑容吧!